Orthodontic Helpline

27 Wood Street, Barnet EN5 4BE

How Can We Help You Today?

Tell us how we can help you today by choosing an option from the list below:

We respect your privacy. We store personal data securely and will not share your details with any 3rd party.

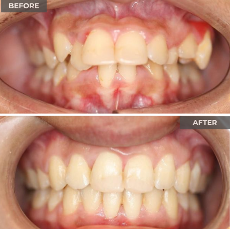
Orthodontic Clinic In Barnet

A smile can change everything; your confidence, your outlook, your life. Do you have twisted, crooked or overlapping teeth? We can help.

Range Of Orthodontic Treatments.

Choose From Clear Aligners, Removable & Hidden Braces.

Prices From £52.06 Per Month.

We Offer 0% Finance For 12 Months.

We Offer 14.9% Finance For 60 Months.

I am so confident now I have straight teeth I can be proud of. I can't stop smiling! 10/10 service.

Qualified Orthodontist

Free Virtual Consultation

Cost Effective

0% Finance

We offer expert advice from our treatment consultant at no cost.

Get a New Smile from just £52.06 per month.

Finance is available on orthodontic treatments.

We offer the full range of orthodontic treatments.

Looking for a more confident smile?

In today's society it would seem that how you look on the outside plays an even bigger role to how you feel on the inside. As well as increasing confidence we straighten teeth to create beautiful smiles and also improve the health of your teeth.


Here at GM Dental And Implant Centre Barnet we are specialists in teeth straightening. Achieving the smile you always dreamed of doesn’t have to be a big deal. In fact, it barely has to impact your day–to–day life at all with our range of teeth straightening options for both fixed and removable appliances. Both treatments get fantastic results but speak to one of our dentists to find the solution for you.

 Increases self confidence 

Makes teeth easier to clean

Prevents abnormal tooth wear 

Decreases headaches or neck pain

Restores your natural smile

Gives you healthier gums

We Can Correct The Following:

UNDERBITE TEETH

CROSSBITE

OVERBITE

CROWDED TEETH

GAP TEETH

OPEN BITE

Testimonials

"I had my teeth straightened with GM Dental Barnet and they were fantastic. From the treatment received to the follow up, the staff are lovely. The most important thing for me is that now I can smile confidently, whereas before I hated my teeth. Thanks so much to the team :-) ."

"Even though we have moved out of the area we still travel to these guys as we wouldn't trust anyone else with our smiles. They have 3D software for smiles and offered me a scan for my treatment and it was brilliant! Looking forward to the end result! Thanks guys for always giving us a 5* service! "

"I recently visited this clinic after having issues with tooth decay. My oral health is now greatly improved. The next step is straightening my teeth and the dentist has shown me a 3D representation of how my teeth will look after the treatment. I would definitely recommend.. A very comfortable experience overall."

" Been coming here for years and would highly recommend! Love the friendly and professional service! Looking forward to getting my Teeth Straightening done! The price is competitive and I know I will get a great service."

Solutions

Invisalign®

Clear Braces

Metal Braces

Invisalign® straightens teeth using a series of nearly invisible, removable aligners that are custom–made specifically for your teeth. As you replace each aligner every two weeks, your teeth will move - little by little, week by week, gradually moving towards the projected final position. Comfortable, clear and removable - Invisalign® transforms your smile without disrupting your life. Something that over 3 million people worldwide have already discovered. Invisalign can cure most cases within 6-12 months leaving you with a straighter smile and much more confidence.


Cosmetic braces are also known as invisible braces and clear braces. While many patients who are in need of braces will choose traditional metal braces, there are many more who would prefer not to wear metal braces. Instead, they would prefer to have more discreet options, which is why so many new and exciting braces options are available today. Cosmetic braces can help correct crooked teeth, crowded teeth, spaces in between teeth, teeth that stick out, an open bite and a deep overbite.


Metal braces are strong, fixed alliances used in orthodontic treatment. These traditional fixed metal braces remain the type of treatment most commonly fitted by orthodontists in the UK, particularly for children. They consist of very small metal brackets attached to a wire that are placed on the front of your teeth. They are popular with teenagers as they can be brightened up with different colours to make the smile unique. Metal braces use constant, gentle pressure, which over time, and also move teeth into their proper positions.

OPG X-ray

At GM Dental And Implant Centre our specialised X-rays include Orthopantomogram (OPG) and lateral (CEPH) X-rays, providing you with full face-on panoramic and side view (lateral CEPH) dental x-rays, respectively.


An orthopantomogram x-ray (OPG x-ray) is a wide-view, panoramic x-ray of the patients upper and law jaw, and associated dentition from root to crown, in a single image - which is not possible with periapical or bite-wing x-rays. A digital OPG x-ray is especially helpful in planning of orthodontic dental brace treatment, as it provides a full overview of the teeth, and highlights non-erupted and/or impacted teeth.

How Can We Help You Today?

Tell us how we can help you today by choosing an option from the list below:

We respect your privacy. We store personal data securely and will not share your details with any 3rd party.

At GM Dental And Implant Centre we have trained orthodontists who have been specialists in the field for over 10 years.

During your free virtual consultation we listen to your questions and concerns and our primary focus is getting all of our patients the correct treatment, which is why we offer flexible, affordable payment options.

Range Of Orthodontic Treatments.

Choose From Clear, Removable & Hidden Braces.

Prices From £52.06 Per Month.

We Offer 0% Finance For 12 Months.

We Offer 14..9% Finance For 60 Months.

I am so confident now I have straight teeth I can be proud of. I can't stop smiling! 10/10 service.